Хронический тонзиллит у взрослых: симптомы и лечение, что делать, осложнения
Как и любой воспалительный процесс, недостаточно вылеченный или игнорируемый, острый тонзиллит у взрослых со временем переходит в хронический. Его симптомы начинают проявляться периодически, когда заболевание переходит в стадию обострения и нивелироваться в период ремиссии.

Лечение болезни – необходимая мера для сохранения естественного иммунитета, предупреждения возможных осложнений. Решать, что делать для выздоровления конкретного пациента может только врач, изучивший индивидуальную клиническую картину.
Характер проблемы
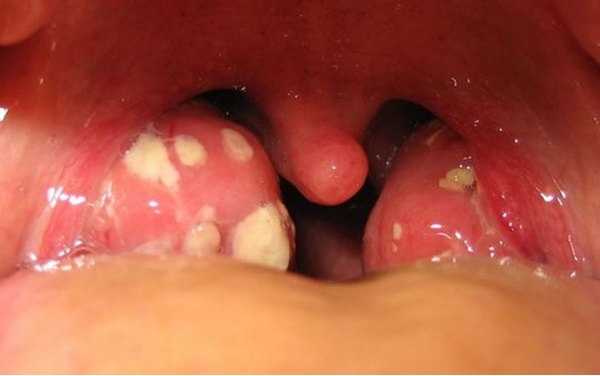
Тонзиллит – это общий собирательный термин, образованный от латинских корней, употребляемый в практической медицине для обозначения воспалительного процесса на одной или нескольких миндалинах. Миндалины – неотъемлемая часть лимфатической системы человеческого организма, которая одновременно входит в состав системы иммунной.

Их основная функция – предотвращение попадания бактерий, микроорганизмов и вирусов в органы дыхательной системы. Для этой цели природа предусмотрела специфическую лимфоидную ткань в строении миндалин и их расположение в области глотки и ротовой полости.
У взрослых и детей тонзиллитом называют ангину, однако такое наименование не совсем корректно, если вспомнить, что причинами появления воспалительного процесса могут быть, как внутренние, так и внешние причины.

МКБ 10 различает тонзиллит 2 форм:
- острый;
- хронический.
Симптомы заболевания могут вызываться внешним инфицированием, из воздуха или употребляемой пищи, а также хроническим воспалительным очагом, который игнорируется пациентом.

Причинами перехода болезни в хроническую стадию могут выступать вариабельные факторы – постоянно присутствующие воспалительные процессы в этой области, не получившие достаточно эффективного лечения, инфицированием слизистой при других инфекционных заболеваниях, далеко не безобидных – скарлатине, дифтерии, кори. В последнем случае симптомы острой стадии могут не проявляться, а если развивается простая форма, то манифестируют только местные симптомы.
Признаки перманентного воспаления
Воспаление – специфическая реакция организма, со сложным механизмом развития, и его возникновение может наблюдаться в любом сегменте организма. Характерными признаками его присутствия является общее ухудшение самочувствия.

У человека понижается работоспособность, отмечается вялость, апатия, отмечается повышенная утомляемость.
Симптомы при тонзиллите у взрослых несколько отличаются при хронической и острой форме:

Название компенсированный в анамнезе свидетельствует о сохраненной защитной функции миндалин, процесс протекает локализовано и не поражает остальное пространство. При декомпенсированном тонзиллите у взрослых, симптомы присутствуют и местные, и указывающие на другие заболевания – паратонзиллит, гнойное воспаление, абсцесс. Это происходит из-за тотального поражения, в результате которого миндалины не выполняют защитную функцию, предусмотренную природой.
Вероятные осложнения
Необходимость своевременной диагностики и лечения патологического состояния кроется не только в неприятных признаках его присутствия – неприятном запахе из ротовой полости, общем недомогании, периодически проявляющейся температуре даже в период ремиссии.

Хроническое воспаление негативно сказывается на состоянии сердца, суставов, других ЛОР-органов, расположенных поблизости:
- распространенным осложнением заболевания и игнорируемых симптомов может стать паратонзиллярный абсцесс, сопровождающийся отеком глотки, при котором потребуется экстренная врачебная помощь;
- характерны тяжелые нарушения ревматического типа – поражение нервной системы (ревмохорея), ревмокардит, кожные заболевания, воспаления суставов;
- отмечены случаи развития нефрита, тиреотоксикоза, васкулита и радикулита;
- паратонзиллярный абсцесс может перейти в флегмону шеи, с неблагоприятным прогнозом для жизни.

Быстрое присоединение других инфекций, увеличение лимфатических узлов, боли в этой области, отсутствие реакции от слабого иммунитета. Это означает, что другие заболевания могут быстрее развиваться в организме пациента, привести к непредсказуемым последствиям.
Терапия и хирургия
Эффективным методом считается тонзилэктомия – удаление пораженной миндалины или ее части. В современной оториноларингологии есть несколько видов оперативного вмешательства – криохирургия, лазер, гальванокаустика и диатермокаустика.
Возможно и лечение медикаментами. Их назначают для коррекции иммунной системы, устранения аллергического компонента, применяют средства для рефлекторного воздействия – иглорефлексотерапию, лекарственные блокады. Превалирующим методом считается санация миндалин, устранение очагов воспаления, спровоцировавших тонзиллит – кариеса, полипов в носу.

Лечение тонзиллита и у детей, и у взрослых, зависит от нескольких определяющих факторов, устанавливаемых путем проведения диагностики:
- формы протекания – острой или хронической (в последнем случае учитывается, компенсированная или декомпенсированная стадия;
- общего состояния организма пациента (присутствия аллергического компонента, других перманентных заболеваний ЛОР-органов, состояния общего иммунитета, болезней ССС и выделительной системы);
- происхождения ангины – первичного, в результате переохлаждения или инфицирования, или обострения вялотекущего хронического воспаления;
- патогенного агента – вируса, гемолитического стрептококка, грибковой инфекции, хламидий или другой бактериальной инфекции;
- возраста пациента – есть некоторые нюансы протекания болезни и лечения у детей и у взрослых.
Лечение хронического тонзиллита зависит от индивидуальной клинической картины, патогенного агента, компенсированности или декомпенсированности, анатомического строения миндалин и выбирается врачом с учетом всех факторов.

Заниматься самолечением небезопасно – прием антибиотиков по самоназначению может привести к поражению пищеварительных органов, но не оказать никакого действия на бактерии или грибок, ставший основной причиной.
Бонус
Хронический тонзиллит – опасное заболевание:

А у вас был хронический тонзиллит?
Да
Был у моего ребенка
Ни не было
Я впервые слышу об этом заболевании
Проголосовать