Можно ли делать МРТ со штифтами в зубах и металлокерамика: советы, фото
Точным и информативным методом исследования является магнитно-резонансная томография. Но этот метод диагностики имеет свои ограничения. При назначении процедуры возникает вопрос, можно ли делать МРТ со штифтами в зубах или коронками из металла.
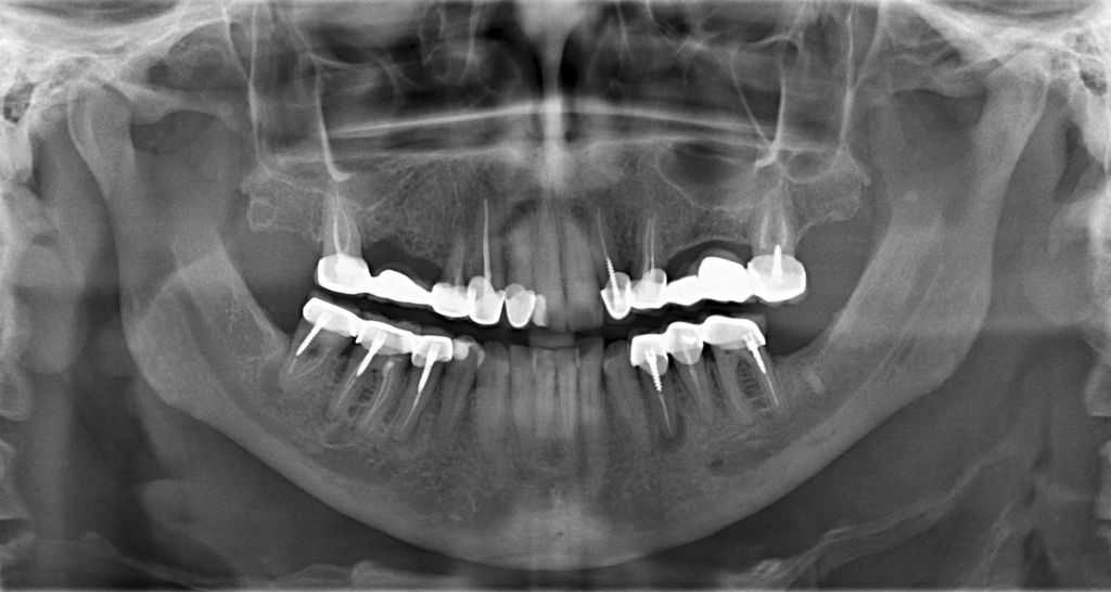
Разнообразие штифтов
При значительном разрушении зуба рекомендуется устанавливать штифты, так как пломбу зафиксировать будет сложно. Зубной штифт является металлическим стержнем, который вкручивается в корень канала. Для изготовления штифтов применяются разные материалы:
- металлокерамика;
- стекловолокно;
- титан;
- сплавы золота;
- платина.
Самыми надежными считаются стержни из титановых сплавов. Они практичны и имеют среднюю цену.


МРТ при наличии штифтов
Магнитно-резонансную томографию делают для выявления заболеваний, особенно на ранних стадиях. Для этого аппарат делает серию снимков – срезов определенного внутреннего органа. Нужно очень высокое качество изображения, чтобы специалист мог обнаружить наличие дефектов в заданной области.

Интересно! Как лечить неврому Мортона и что это такое
Если у пациента есть штифт в ротовой полости, он должен сообщить об этом перед проведением обследования. Можно ли делать МРТ со штифтами в зубах, будет решаться в зависимости от многих факторов:

В карточке описано, из какого материала сделан штифт. С полным описанием можно будет прийти на МРТ. Если нельзя сделать магнитно-резонансное обследование, то проводится компьютерная томография.
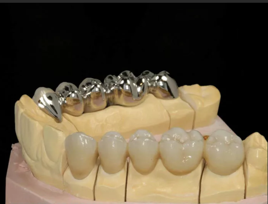
Металлические коронки на зубах
В стоматологии часто применяют металлические коронки при разрушении зубов. Если коронка выполняется только из металла, то на нее напыляется медь, При металлокерамических коронках напыление производится из керамики. При постановке таких протезов будет возникать вопрос, можно ли делать МРТ с металлическими коронками на зубах.
Выполнять магнито-резонансную томографию с металлическими коронками нельзя, а с металлокерамическими – можно.

Интересно! Опасно ли делать флюорографию на ранних сроках беременности
Крепежные элементы для коронок выполняются из следующих материалов:
- сталь;
- никель;
- кобальт;
- железо.
Они оказывают влияние на магнитное поле томографа. Нагревание этих материалов незначительное. Оно не ощущается человеком, не оказывает отрицательного воздействия на окружающие ткани. Но эти крепежи будут искажать изображения на снимках. Сплавы из золота не нагреваются, но тоже изменяют компьютерное изображение.

Влияние металла на обследование
Технологии в медицине быстро двигаются вперед. Уже невозможно однозначно сказать, можно ли делать МРТ с металлическими коронками на зубах. Только при проведении обследования головы эти конструкции могут помешать. Если проводится томография конечностей или внутренних органов брюшной полости, то наличие металлических коронок никак не повлияет на результаты.
Металл в ротовой полости может послужить помехой при проведении МРТ органов грудной клетки или при обследовании сердца. В таких случаях рекомендуется компьютерная томография.
Если обследование надо сделать срочно, например при травме головы, то коронки могут снять. Чтобы их поставить на место, потребуется визит к стоматологу.

Металл будет взаимодействовать с сильным магнитным полем томографа, этого обычно боятся пациенты. Нагревания металлического предмета почти не происходит, оно бывает очень слабым, всего на 1°С. Примагничиваться к стенке томографа пациент не будет.
Вопрос, можно ли делать МРТ со штифтами в зубах или металлокерамическими коронками, можно решить со специалистами по этой диагностике. Разрешение или отказ зависит от многих нюансов. Современные томографы имеют большие возможности, но выполнять дорогостоящее обследование не имеет смысла, если снимки получатся некачественными из-за наличия металла.
Бонус
Магнитно-резонансная томография может выполняться при наличии металла в ротовой полости, следует учесть, что:
- современные аппараты имеют специальные настройки для таких случаев;
- помешать металлические конструкции во рту могут только при обследовании головы;
- металл повлияет на результаты томографии, делая изображения размытыми в месте нахождения штифта или коронки;
- пациент обязательно должен предупредить врачей перед проведением процедуры МРТ о наличии металла в ротовой полости.

А вы давно делали МРТ?
Да
Нет, совсем недавно
Никогда не делал(а)
Проголосовать