Можно ли носить виниры, если нет зубов вообще: когда нет передних и задних

Процедура установки виниров решает вопрос с различными патологиями зубных рядов в разном возрасте. Выясним, можно ли носить виниры, если нет зубов вообще, и что делать, когда нет передних и задних. 

Можно ли носить виниры, если нет зубов

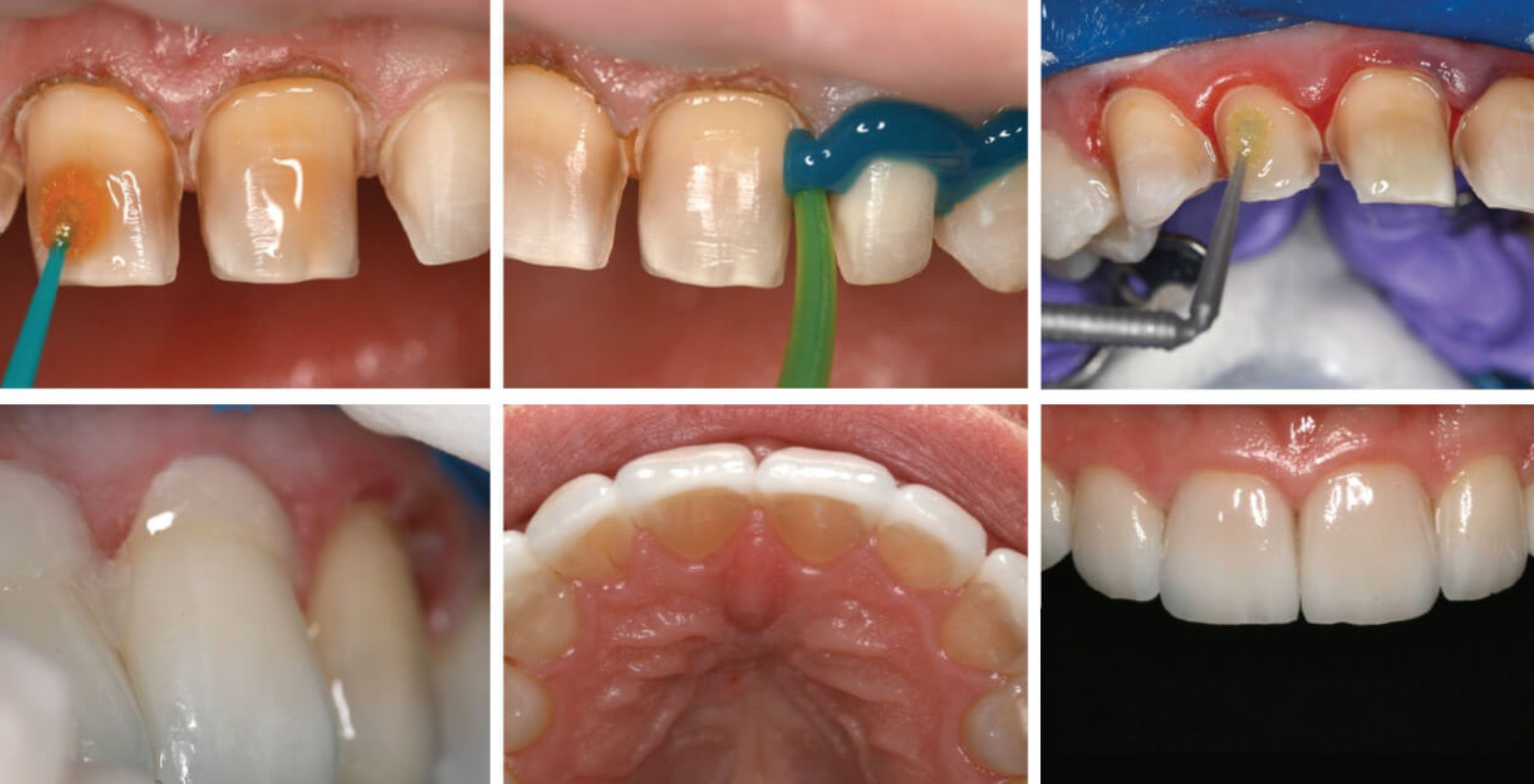
Что делать при полном отсутствии зубов, корней – достаточно частый вопрос у клиентов стоматологических клиник. Специалисты объясняют, что сами виниры представляют собой тонкие пластинки из керамики, в пределах 0,3-0,5 мм.

Они легко устанавливаются на переднюю сторону зубов. Таким образом, ответ на вопрос, можно ли носить виниры, если нет зубов вообще, очевиден. Если зубы отсутствуют полностью, или имеется всего несколько оставшихся корней с отломками зубов, специалисты предлагают выбрать другой вид коррекции.

  • Виниры хорошо адгезируются только на живых, не депульпированных зубах.
  • Для зубов, восстановленных с применением имплантов, специалисты предлагают пациентам выбрать коронки из керамики по типу E-max. Они выполняются из таких же материалов, что и виниры, но их устанавливают с максимальным охватом абатмана на импланте, что обеспечивает надежную фиксацию, дает эстетически приятный внешний вид.
  • Отсутствие даже пары зубов становится проблемой для общения, ведь звуки произносятся нечетко. Человек слышит это и начинает замыкаться в себе. Хорошее решение проблемы – установка коронок, моста. А их, в свою очередь, можно скрыть под винирами – симпатичными и прочными. 
  • Отсутствие жевательных зубов приводит к возникновению болезней желудка, кишечника из-за плохого пережевывания пищи. Специалисты рекомендуют своевременно обращаться за помощью к специалистам, восстанавливать утраченные зубы, для придания коронкам большей прочности накрывать их винирами.
  • Основная проблема при отсутствии зубов – нарушение строения лица, появление отвисания щек, потеря упругости, искажение контуров. Отсутствие зубов вместе с их корнями постепенно нарушает структуру костной ткани, вызывает ее деформацию.
  • Это происходит из-за того, что лунки корней, естественно устроенные в структуре челюсти, сглаживаются и практически не подлежат восстановлению. Когда остается мало своих зубов, их надо беречь, укрывать коронками, винирами. Если же зубов нет вообще, возможность ношения виниров невозможна. 

     

    Носят ли виниры, если нет передних зубов

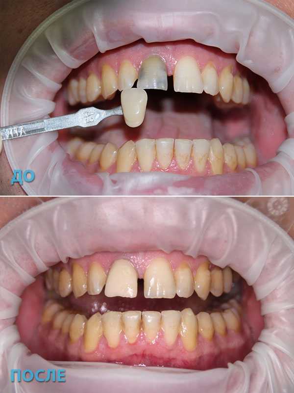
    На верхнюю и нижнюю челюсти при отсутствии нескольких передних зубов виниры врач устанавливает одновременно. Его задача – укрыть передние части зубов, обеспечивая эстетически приятный внешний вид улыбки.

    Живые зубы покрываются винирами, на резерцированные зубы сначала ставится полноценная коронка. В любом случае виниры призваны создать единообразие зубного ряда, придают ему единый цвет и вид внешнего покрытия.

    • А вы носите виниры?

      Да! Очень удобно и главное красиво!

      Только на передних зубах

      Нет, но собираюсь

      Нет, у меня свои зубы красивые!

      Проголосовать

    Интересно! Как укрепить иммунитет ребенка при частых простудах?

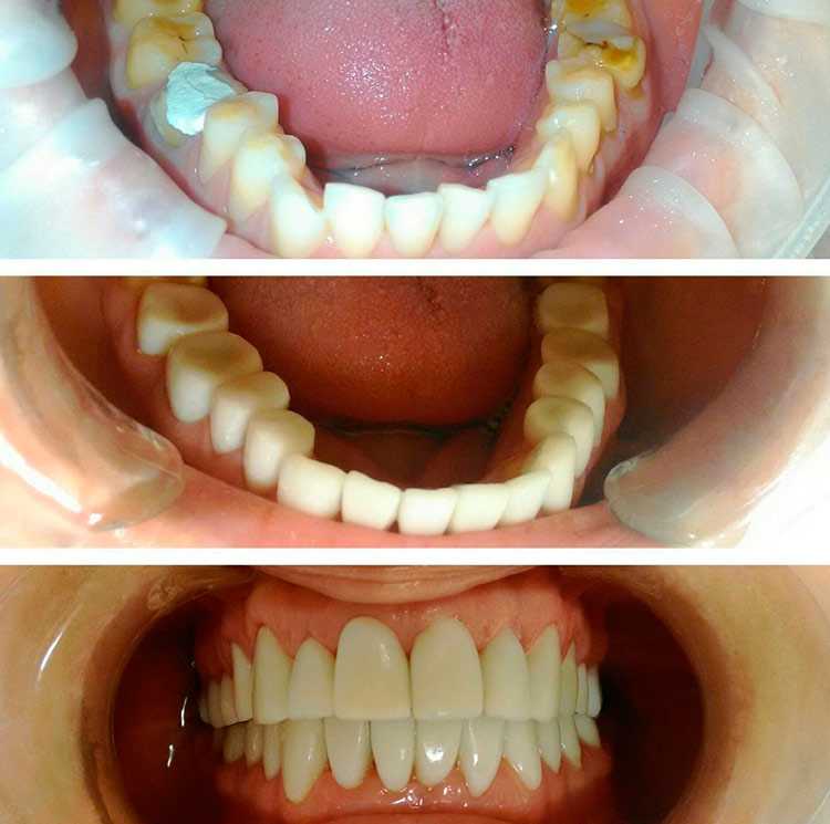
    Виниры устанавливаются для красивой улыбки, но при отсутствии не более 6-10 своих зубов. Как долго бы ни держались виниры, они превосходят по прочности натуральную эмаль.  Отсутствие большего количества зубов считается противопоказанием для установки накладок.

    Когда протезы выполняются из акрила, тем более съемного типа, к ним требуется длительное привыкание. На такие протезы не устанавливаются виниры из-за несоответствия веса материалов, хотя акриловым протезам требуется своевременная коррекция, возвращение изначальной формы, защита от сколов. Виниры здесь не подходят, они не являются протезами.  

    Даже на один зуб допускается установка накладки в ситуации, когда эмаль на других зубах легко отбеливается, что дает возможность стоматологу подобрать наиболее точный цвет накладки. Поэтому на одном переднем зубе, где уже установлена пломба, врач ставит накладку, точно подходящую по цвету натуральных, живых зубов со здоровой, не поврежденной эмалью.

    Разработана методика установки виниров только на верхнюю или только на нижнюю челюсть, при отсутствии здоровых зубов. Это помогает «прятать» за накладками поврежденные зубы с выделяющимися по цвету пломбами, скрывать любые несовершенства на передних зубах.

    При отсутствии в зубном ряду передних элементов от одного до нескольких виниры ставят одновременно с протезированием, однако опытные стоматологи рекомендуют выполнять эти процедуры по очереди, тогда у врача имеется возможность максимально точно подобрать оттенок накладок.

    Обращается внимание на материалы, из которых выполняются коронки и накладки, врач учитывает светоотражающие свойства разных материалов, чтобы передние зубы не отличались визуально от остальных элементов зубного ряда.  

    Если нет зубов на верхней челюсти: установка виниров

    Установка виниров на отсутствующие зубы верхней челюсти обеспечивает им защиту от воздействия внешней среды. Предварительно, до выполнения виниров, врач учитывает наличие зубов на верхней челюсти, их расположение, цвет и оттенки пломб, если они ставились в разное время.

    Эти факторы обговариваются с пациентом заранее, ведь у него нет возможности самостоятельно снять пластинку, менять изношенный, с потерей общего оттенка винир потребуется только в условиях зубопротезного кабинета, потому что, убирая пластинку, врач поневоле нарушает общее состояние зубов.

    Интересно! Что такое Астения и как лечить синдром у женщин

    Повторная установка винира весьма затруднительна даже опытному специалисту. Не во всех Центрах эстетической стоматологии берутся за такую работу, а если и возьмутся, то стоить это будет недешево. 

    Крепление виниров не касается зубных нервов, не наносит травмы мягким тканям в полости рта, поэтому их установка совершенно безболезненная. Они придают крепости зубам верхней челюсти, маскируют имеющиеся дефекты. Они не решают задачи исправления прикуса, с ними зубы не передвигаются к свободному от вырванного зуба месту.

    Если нет коренных зубов: установка виниров

    Жевательными называют коренные зубы в защечном пространстве. Важность их наличия и функционирования понятна каждому человеку.

    Причины отсутствия коренных зубов на верхней или нижней челюстях:

    • заболевания полости рта;
    • возрастные факторы;
    • механическое травмирование с последующей потерей зуба;
    • многочисленный кариес.

    Когда отсутствуют коренные зубы, у человека нарушается прикус, развиваются болезни пищеварительной системы, уменьшается объем костной ткани, щеки впадают внутрь рта, искажается вид лица. Это наиболее сложная проблема, требующая надежно фиксировать, устанавливать постоянные мостовидные конструкции с опорой минимум на два естественных зуба.

    На коренные зубы, несущие максимальную нагрузку при пережевывании продуктов, виниры не крепятся. Вообще полное отсутствие зубов не дает возможности носить виниры на коренных зубах.  

    Как носить виниры, если нет задних зубов

    Решение проблемы отсутствия задних жевательных зубов осуществляется несколькими вариантами. Выбирает метод восстановления зубного ряда стоматолог после полного обследования остающихся здоровых зубов, установления возможности поставить мостовые конструкции или коронки.

    Варианты восстановления отсутствующих задних зубов:

  • Базальная имплантация – дает возможность установить от 2-х до 4-х имплантов, после чего на 3-4-й день стоматолог получает возможность установить постоянные протезы из смеси металла и пластмассы. Виниры при этом не устанавливаются.
  • Нейлоновые съемные протезы – особые конструкции, создаваемые из мягкого и гибкого нейлонового материала. Это временное протезирование, не предполагающее установки виниров.
  • Пластинчатые съемные протезы, создаются из пластмассовых материалов, по цене существенно дешевле нейлоновых конструкций. Срок службы таких конструкций – до 5 лет, установка виниров невозможна.
  • На мертвые депульпированные зубы устанавливаются коронки, перед этим стоматолог рассматривает возможность фиксации мостов и коронок с учетом, что их не покрывают керамическими накладками.

    Подводя итоги

     

  • Установка виниров возможна после полного обследования челюстной кости, вплоть до проведения МРТ.
  • Виниры устанавливаются только при отсутствии нескольких зубов – не более 6-10.
  • Это постоянные конструкции, не подлежащие замене.
  • Необходимость смены виниров новыми определяет стоматолог, ведь их снятие существенно повреждает искусственный или живой зуб.
  • Добавить комментарий

    Ваш адрес email не будет опубликован. Обязательные поля помечены *

    88a13c901c2d7dac Яндекс.Метрика