Розовый лишай – чем лечить: мази, крема, таблетки
Группа кожных болезней, объединяемых термином «лишаи», включает и розовый лишай. Он отличается острым течением, развитием в период межсезонья, специфическими розовыми пятнами, постепенно переходящими в бляшки. Заразным, в отличие от других лишаев, он не является.
Этиология розового лишая
Появляется такая патология чаще всего у молодых людей, 20-40 летнего возраста, обязательно во время вспышки простудных заболеваний, даже если сам человек не простывает. Чем лечить розовый лишай, врачи единогласно назначают лечебные мази.

Даже при отсутствии лечения зачастую пятна лишая исчезают сами, в течение двух месяцев. Точная причина розового лишая сегодня изучена не окончательно, ученые предполагают инфекционную, аллергическую этиологию, даже есть указания на вирус герпеса, как возможную причину развития патологии.
На основании этого современная медицина относит розовый лишай к эритемам инфекционно-аллергического характера.

Практическая медицина отмечает основные факторы возникновения эритемы:

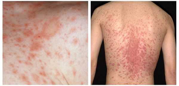
Начинается заболевание с появления 1-3 ярко-розовых пятен, в диаметре до 4-5 см, с шелушащимся верхним слоем. Пятна растут около 10 дней, затем от них «отсевается» множество мелких красных пятнышек круглой и овальной формы.

Они локализуются по всему туловищу, ногам, рукам, груди, животу. Переходят на паховую зону. Захватывают внутреннюю поверхность бедер. Разрастание происходит быстро, за неделю, каждое пятно достигает 2-3 см, но не сливаются, кожа между ними становится желтоватой, начинает шелушиться, образовывать мелкие чешуйки.
Края пятен очерчены выраженным розовым цветом, не шелушатся. Новые пятна появляются в течение двух недель, после чего начинается их постепенное побледнение, исчезновение. Уменьшается пигментация кожи, на наиболее пораженных местах остаются красные фрагменты.

Кожные покровы постепенно сами восстанавливают свой здоровый вид. В среднем болезнь длится 6-8 недель, проходит сама, даже без лечения, не дает рецидивов.
Симптомы розового лишая
Заболевшие люди отмечают появление пятен по всему телу. Это основной симптом патологии.
Кроме того, многие больные отмечают появление:
- зуда;
- дискомфорта;
- активное высыпание дает повышение температуры;
- общего ухудшения самочувствия;
- увеличения шейных, подчелюстных лимфоузлов.

Реже появляются не типичные для розового лишая пузырьки, бугорковая сыпь, в таком случае заболевание длится значительно дольше.
Диагностика розового лишая
Для подтверждения диагноза требуется осмотр дерматолога, он делает соскобы для проведения дерматоскопии. В тяжелом случае течения болезни проводят биопсию пораженных кожных покровов для гистологического исследования взятого материала. Это требуется, чтобы исключить похожие по клинической картине заболевания.

Соскоб и посев взятого материала на исследование флоры проводят, чтобы определить чувствительность инфекции к антибиотическим препаратам. Дифференцировать диагностику помогает осмотр кожных покровов под освещением люминесцентной лампы. Для определения отсутствия сифилиса врач назначает анализ крови на реакцию Вассермана.
Одинаковые симптомы могут стать признаком различных форм лишая. Заболевание редко протекает строго «по учебнику». Поэтому врачи остерегают заболевших от самостоятельного лечения, обязательно требуется осмотр дерматолога. По отзывам людей, чем лучше всего лечить розовый лишай, все предлагают испытанные мази.
Лечение розового лишая
Хоть и говорят сами врачи, что эритема сама проходит через 8 недель, многие пациенты желают избавиться от неприятного косметического дефекта кожи значительно быстрее. Поэтому врач, наблюдая за клинической картиной, назначает необходимое лечение, объясняет, как соблюдать правила гигиенического ухода за пораженными кожными покровами.

Интересно! Отрубевидный лишай у человека: что это и как его лечить
Часто, решая вопрос, чем лечить розовый лишай у человека, дерматолог назначает мази и таблетки для внутреннего приема, когда считает это необходимым, чтобы инфекция не проникала в кровь.
При наличии сильного зуда дерматолог назначает антигистаминные препараты в таблетках, мазь против зуда, чаще всего это Циндол. Как правило, назначаются аптечные «болтушки» для проведения примочек. Судя по отзывам пациентов, чем лечить розовый лишай, лучше всего подходят мази Ацикловир, Эритромициновая мазь.

Чаще всего дерматологи назначают проверенные на практике препараты:

На время лечения пациентам рекомендуется питание по гипоаллергенной диете, с исключением кислых, консервированных, жирных, острых блюд, любых сладостей. Необходим отказ от алкоголя и кофе.
Лечение розового лишая у детей
Чтобы инфекция у ребенка не прогрессировала, обычно используется классическая болтушка. Она по своему составу идеально подходит детям, потому что содержит безвредные вещества. На вопрос, чем лечить у ребенка розовый лишай, родители используют проверенные мази. От болтушки зачастую отказываются, потому что на нее отмечается аллергическая реакция.

Вылечить эритему у детей проще, так как у них еще сильная регенерация тканей, в отличие от взрослого человека.
Выбирая мазь для лечения эритемы у детей, дерматолог учитывает рекомендации инструкции, чтобы исключить осложнения, точно высчитывает суточную дозировку использования.

Интересно! Лечение опоясывающего герпеса у взрослых
Если кожа ребенка поражена на небольшом участке, применять сильнодействующие препараты нельзя, они могут вызвать нежелательные побочные эффекты. Зачастую дерматолог рекомендует прием витаминных и иммуномодулирующих комплексов для укрепления иммунитета, чтобы помочь организму самому побороть инфекцию. Не рекомендуется принимать душ, ванну во время лечения эритемы, так как вода провоцирует распространение патологии по всему телу.
Препараты, используемые в лечении розового лишая
В решении вопроса, чем лечить розовый лишай у человека, мази не являются основным средством. Есть еще специальные крема, таблетки направленного действия, показавшие свою эффективность в практике использования дерматологами:
- Таблетки Лоратадина, с основным действующим веществом – лоратадином. Производитель – «Киевмедпрепарат», Украина. Длительное время сдерживает зуд, общее раздражение. У них нет противопоказаний, кроме индивидуальной непереносимости, дисфункций печени, беременности и лактации. Разрешается использовать у детей с 2-х летнего возраста. Имеет несколько аналогов со схожим действующим компонентом – Лоризан, Кларитин, Лотарен.

- Таблетки Супрастина, распространенный, проверенный временем препарат против аллергии разной этиологии. Производитель – фармацевтический завод Эшис, Венгрия. Основное действующее вещество – гидрохлорид хлоропирамина. После приема таблетки эффект ощущается спустя ½ часа, длится до 6 часов. Имеет доступную цену, но и обширный список противопоказаний. Поэтому считается устаревшим, назначается редко.

- Таблетки и сироп L-цет, антигистаминное средство с основным действующим компонентом – гидрохлоридом левоцетиризина. Производитель – Кусум Хелтхкер, Индия. Назначается в ситуациях, когда клиническая картина проявляется зудом, сыпью, крапивницей, отеками, аллергией. Лекарственное средство имеет мало противопоказаний – индивидуальное не восприятие, патологии почек. Не имеет побочных эффектов. Его прием назначается длительными курсами, до нескольких месяцев. Имеет аналоги – Цетрилев, Цитрин, Ксизал.

Многие препараты против аллергии вызывают сонливость, поэтому их прием назначают на ночь. Если сонливое состояние остается утром, лекарство меняется, или корректируется его дозировка.

А вы или ваши близкие сталкивались с этим неприятным заболеванием?
Да розовый лишай был у меня один раз
Розовый лишай был у моих близких
Нет я не сталкивался (лась) с этим заболеванием
Я впервые слышу об этом заболевании
Проголосовать